Πρωτοπαθής σκληρυντική χολαγγειίτιδα

Η πρωτοπαθής (ιδιοπαθής) σκληρυντική χολαγγειίτιδα (Primary sclerosing cholangitis -PSC) είναι μία νόσος αγνώστου αιτιολογίας που θεωρείται αυτοάνοση και χαρακτηρίζεται από προοδευτική, φλεγμονώδη, σκληρυντική και αποφρακτική διεργασία στους ενδοηπατικούς και/ή στους ενδοηπατικούς χοληφόρους πόρους.

Η νόσος προσβάλει κυρίως άνδρες ηλικίας 25-45 ετών και μπορεί να εμφανιστεί και ως ανεξάρτητη οντότητα, αν και στις περισσότερες περιπτώσεις (70%) συνδυάζεται με ιδιοπαθή φλεγμονώδη νόσο του εντέρου και ιδίως ελκώδη κολίτιδα ή με άλλα πολυεστιακά ινώδη και σκληρυντικά σύνδρομα, όπως η οπισθοπεριτοναϊκή, η μεσοθωρακική και η περιουρηθρική ίνωση ή και ακόμα με θυρεοειδίτιδα Riedel.

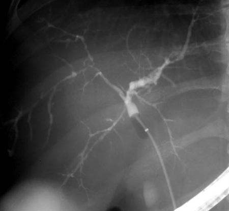
Xολαγγειοπαγκρεατογραφία σε ασθενή με πρωτοπαθή σκληρυντική χολαγγειίτιδαXολαγγειοπαγκρεατογραφία σε ασθενή με πρωτοπαθή σκληρυντική χολαγγειίτιδα Η φλεγμονώδης νόσος του εντέρου συνήθως, προηγείται της πρωτοπαθούς σκληρυντικής χολαγγειίτιδας, αν και σε μερικές περιπτώσεις η κολίτιδα είναι ασυμπτωματική και ανακαλύπτεται μετά από βιοψία.

Οι πάσχοντες από σκληρυντική χολαγγειίτιδα εμφανίζουν συνήθως συμπτώματα οξείας και χρόνιας απόφραξης των χοληφόρων όπως άλγος στο δεξιό υποχόνδριο, κνησμό, ίκτερο ή και ακόμα οξεία χολαγγειίτιδα.

Η νόσος είναι προοδευτική, με εξάλειψη των μικρών, μεσαίων και μεγάλων χοληφόρων πόρων και οδηγεί σε τρία διακριτά κλινικά σύνδρομα:

1) Xολόσταση και δευτεροπαθή χολική κίρρωση συνοδευόμενη από ηπατική ανεπάρκεια με πυλαία υπέρταση και κιρσούς οισοφάγου στην περίπτωση πλήρους απόφραξης των χοληφόρων
2) Yποτροπιάζουσα χολαγγειίτιδα και στενώσεις των μεγάλων χοληφόρων, και

3) Xολαγγειοκαρκίνωμα

Η διάγνωση της νόσου γίνεται με την βοήθεια της ERCP (ενδοσκοπική ανάστροφη χολαγγειοπαγκρεατογραφία) ή με MRCP, στην οποία αναδεικνύονται πολυεστιακές διάχυτες στενώσεις με ενδιάμεσα φυσιολογικά ή διατεταμένα τμήματα χολικών πόρων που τους προσδίδουν την χαρακτηριστική κομβολογιοειδή εμφάνιση.

Η βιοψία ήπατος δείχνει αποφρακτική χολαγγειίτιδα με φλεγμονή και χαρακτηριστική περιπορική δακτυλιοειδή ίνωση σε σχήμα κρεμμυδιού.

Το πιο συχνό εργαστηριακό εύρημα είναι η αύξηση της αλκαλικής φωσφατάσης, που εμφανίζεται στο 90% των ασθενών, αύξηση της γGT (γ-γλουταμυλτρανσφεράση) καθώς και ήπια αύξηση των αμινοτρανσφερασών. Η χολερυθρίνη αρχικά είναι φυσιολογική στο 60% των ασθενών, αλλά αυξάνεται με την πάροδο του χρόνου και είναι σημαντικός προγνωστικός παράγοντας. Αυτοαντισώματα, όπως τα αντιπυρηνικά και τα αντισώματα έναντι των λείων μυϊκών ινών, ανευρίσκονται στο 22% των ασθενών, αλλά η ανεύρεση θετικών αντιμιτοχονδριακών αντισωμάτων είναι σπάνια και υποδηλώνει πρωτοπαθή χολική κίρρωση. Αντισώματα έναντι του κυτταροπλάσματος των ουδετεροφίλων με περιπυρηνικό φθορισμό (pANCA) είναι θετικά στο 90% των ασθενών με πρωτοπαθή σκληρυντική χολαγγειίτιδα και κολίτιδα, αλλά τα pANCA είναι μη ειδικά καθώς ανευρίσκονται επίσης στην ελκώδη κολίτιδα και στην αυτοάνοση ηπατίτιδα χωρίς την ταυτόχρονη παρουσία πρωτοπαθούς σκληρυντικής χολαγγειίτιδας.

Θεραπεία:

Η θεραπεία με χολεστυραμίνη μπορεί να βοηθήσει στον έλεγχο του κνησμού και τα αντιβιοτικά είναι χρήσιμα σε επιπλεγμένη σηπτική χολαγγειίτιδα. Απαραίτητη είναι και η χορήγηση βιταμίνης D και ασβεστίου για την πρόληψη της απώλειας οστικής μάζας που εμφανίζεται στους πάσχοντες από χρόνια χολόσταση.

Η ανοσοκατασταλτική θεραπεία δεν είναι αποτελεσματική. Το ουρσοδεοξυχολικό οξύ (UDCA) 15 -20 mg/kg/ημέρα βελτιώνει τα επίπεδα χολερυθρίνης, αλκαλικής φωσφατάσης και αλβουμίνης, χωρίς όμως να επιφέρει σημαντική βελτίωση στο ποσοστό επιβίωσης ή να επιμηκύνει το χρονικό διάστημα ως την εμφάνιση ρήξης της αντιρρόπησης του ήπατος. Η ενδοσκοπκή θεραπεία των στενώσεων στα μεγάλα χοληφόρα με τη χρήση μπαλονιού διαστολής ή με την τοποθέτηση ενδοπρόθεσης, αποφεύγεται όσο είναι δυνατόν επειδή αυξάνει τον κίνδυνο υποτροπιάζουσας χολαγγειίτιδας.

Ο τακτικός έλεγχος με χολαγγειογραφία κάθε 6 με 12 μήνες ανιχνευθεί (αν και δύσκολα) την ανάπτυξη χολαγγειοκαρκίνωματων που απαιτούν χειρουργική αφαίρεση και ακτινοθεραπεία.

Η μεταμόσχευση ήπατος η οποία πιθανόν είναι η μόνη οριστική θεραπεία, η νόσος σπάνια υποτροπιάζει και το ποσοστό επιβίωσης ανέρχεται στο 83% τον πρώτο χρόνο και στο 73% στα πέντε χρόνια.

Η φυσική ιστορία της νόσου ποικίλλει. Ορισμένοι ασθενείς εμφανίζουν σοβαρή υποτροπιάζουσα χολαγγειίτιδα, ενώ άλλοι εξελίσσονται προς χολική κίρρωση. Η μέση επιβίωση μέχρι το θάνατο ή τη μεταμόσχευση είναι 12 χρόνια, με εύρος έως και τα 21 χρόνια. Οι ασυμπτωματικοί ασθενείς εμφανίζουν καλύτερα ποσοστά επιβίωσης (10ετής επιβίωση 80%) σε σχέση με τους συμπτωματικούς (10ετής επιβίωση 50%).

Τέσσερις παράγοντες (ηλικία, επίπεδο χολερυθρίνης ορού, ιστολογικό στάδιο και μεγαλοσπληνία) επηρεάζουν την επιβίωση των ασθενών και αποτελούν την βάση ενός συστήματος βαθμολόγησης.

 

Πηγή:

  • Mauss - Berg - Rockstroh - Sarrazin - Wedemeyer - Hepatology2009 - A Clinical Textbook
  • Goldman - Ausiello Cecil Medicine, 23rd ed

Σχετικά άρθρα

Πρωτοπαθής χολική χολαγγειίτιδα

Αντιμιτοχονδριακά αντισώματα (AMA)

Χρόνια παγκρεατίτιδα