Ο πνευμοθώρακας (pneumothorax) είναι η άθροιση αέρα στην κοιλότητα του υπεζωκότα η οποία προκαλεί πλήρη ή μερική σύμπτυξη του πνεύμονα.
Ο υπεζωκότας:
Είναι ένας λεπτός υμένας που υπάρχει μεταξύ του θωρακικού τοιχώματος και των πνευμόνων και αποτελείται από 2 τμήματα (πέταλα), ένα εσωτερικό (σπλαγχνικός υπεζωκότας) το οποίο καλύπτει τους πνεύμονες και ένα εξωτερικό (τοιχωματικός υπεζωκότας) το οποίο καλύπτει το θωρακικό τοίχωμα.
Τα 2 πέταλα του υπεζωκότα σχηματίζουν μία κοιλότητα μεταξύ τους η οποία περιέχει μία μικρή ποσότητα υγρού (πλευριτικό υγρό) και η οποία σε φυσιολογικές συνθήκες είναι λιγότερη από 1ml. Το υγρό αυτό λειτουργεί σαν λιπαντικό (αποφυγή τριβής μεταξύ των πετάλων του υπεζωκότα κατά τις αναπνευστικές κινήσεις).
ΠνευμοθώρακαςΦυσιολογικά η πίεση στην υπεζωκοτική κοιλότητα στο τέλος της ήρεμης αναπνοής είναι μικρότερη από την ατμοσφαιρική λόγω της ισορροπίας μεταξύ της τάσεως του πνεύμονα να συμπτυχθεί και της τάσεως του πνεύμονα να εκπτυχθεί. Έτσι οι πνεύμονες μπορεί να θεωρηθούν ότι διατηρούνται σε έκπτυξη λόγω της περιβάλλουσας αρνητικής ενδοϋπεζωκοτικής πιέσεως όπως το μπαλόνι διατηρείται φουσκωμένο όταν βρίσκεται σε κενό αέρος. Όταν εισέλθει αέρας στην κοιλότητα του υπεζωκότα η ενδοϋπεζωκοτική πίεση στο πάσχον ημιθωράκιο τείνει να εξισωθεί με την ατμοσφαιρική. Όσο λιγότερο αρνητική καθίσταται η ενδοϋπεζωκοτική πίεση, τόσο αυξάνει ο βαθμός συμπτύξεως του πνεύμονα. Το μεσοθωράκιο (χώρος μεταξύ των πνευμόνων) μετακινείται προς την υγιή πλευρά λόγω της φυσιολογικής ελαστικότητας του υγιούς πνεύμονα. Αν η ενδοϋπεζωκοτική πίεση υπερβεί την ατμοσφαιρική, όπως επί βαλβιδικής επικοινωνίας της υπεζωκοτικής κοιλότητας (βαλβιδικός μηχανισμός ο οποίος επιτρέπει την είσοδο του αέρα στην υπεζωκοτική κοιλότητα αλλά όχι και την έξοδό του π.χ σε διάτρηση πνεύμονα από κάταγμα πλευράς) ή όταν ο πνευμοθώρακας αποτελεί επιπλοκή της μηχανικής αναπνοής, αναπτύσσεται πνευμοθώρακας υπό τάση. Στις περιπτώσεις αυτές ο προσκείμενος πνεύμονας συμπιέζεται, επέρχεται περαιτέρω μετατόπιση του μεσοπνευμονίου προς την υγιή πλευρά και μπορεί να παρατηρηθεί σημαντική μείωση της καρδιακής παροχής λόγω της μείωσης της φλεβικής επιστροφής προς την καρδιά, εξαιτίας της θετικής ενδοθωρακικής πιέσεως.
Ο πνευμοθώρακας μπορεί να επέλθει:
- Αυτόματα ή
- Δευτεροπαθώς λόγω:
- Υποκείμενης πνευμονοπάθειας.
- Βρογχοσκοπικής ή διαθωρακικής βιοψίας πνεύμονα.
- Διαμπερές ή μη τραύμα του θώρακα.
- Θωρακοκέντησης.
- Μηχανικής αναπνοής (αναπνευστήρας).
- Διάτρησης του οισοφάγου.
Αυτόματος πνευμοθώρακας:
- Απαντά συχνότερα σε προηγουμένως υγιή άτομα μεταξύ 20-40 ετών.
- Στους ασθενείς αυτούς υφίσταται ισχυρή τάση υποτροπής του πνευμοθώρακα.
- Ο αέρας εισέρχεται στην υπεζωκοτική κοιλότητα λόγω ρήξης μικρών φυσαλίδων της επιφάνειας του σπλαχνικού πετάλου, κυρίως στη κορυφή του πνεύμονα λόγω της πιο αρνητικής ενδοϋπεζωκοτικής πίεσης που επικρατεί εκεί.
- Το αίτιο δημιουργίας των φυσαλίδων δεν είναι σαφές αν και σε μερικούς ασθενής ανεβρέθηκαν μικρά οζίδια στον υπεζωκότα αποτελούμενα από ιστιοκύτταρα, γιγαντοκύτταρα και άλλα φλεγμονώδη κύτταρα.
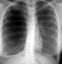
Ακτινολογική εικόνα πνευμοθώρακα
Κλινική εικόνα:
- Δύσπνοια.
- Πλευριτικό άλγος.
- Ταχύπνοια (γρήγορη αναπνοή) και ασυμμετρία στην έκπτυξη του θωρακικού τοιχώματος (λόγω διατάσεως του τοιχώματος στην πάσχουσα πλευρά, καθώς συμπτύσσεται ο πνεύμονας).
- Σε μεγάλης έκτασης πνευμοθώρακα και σε πνευμοθώρακα υπό τάση εκτός από την έντονη δύσπνοια και το θωρακικό άλγος συνυπάρχουν έντονα και σημεία Shock (υπόταση).
- Επικρουστικά υπάρχει υπερηχηρότητα (κυρίως στον υπό τάση πνευμοθώρακα) καθώς και μείωση του αναπνευστικού ψιθυρίσματος στη πάσχουσα περιοχή κατά την ακρόαση ενώ ταυτόχρονα υπάρχει και παρέκκλιση της καρδιακής ώσης προς την υγιή πλευρά.
- Στην ανάλυση αερίων αίματος αν και δεν είναι απαραίτητη υπάρχει υποξαιμία.
- Στο ΗΚΓ κυρίως στον πνευμοθώρακα του αριστερού πνεύμονα στις προκάρδιες απαγωγές μπορεί να υπάρξουν αλλοιώσεις του επάρματος Τ και του άξονα QRS, οι οποίες μιμούνται έμφραγμα του μυοκαρδίου.
- Η ακτινογραφία θώρακα η οποία πρέπει να γίνεται πάντα σε όρθια θέση (επειδή κατά την ύπτια κατάκλιση η προς τα άνω μετακίνηση του αέρα και η προσέγγιση των δύο πετάλων του υπεζωκότα προς τα πλάγια μπορεί να επισκιάσουν την παρουσία του) αποκαλύπτει εμφανές όριο του σπλαχνικού υπεζωκότα χωρίς σκιαγράφηση πνευμονικού ιστού μεταξύ του ορίου αυτού και του θωρακικού τοιχώματος καθώς και μετακίνηση του μεσοθωρακίου και παρέκκλιση της τραχείας προς την υγιή πλευρά.
- Στον ύπτιο ασθενή με φαινομενικά φυσιολογική ακτινογραφία αλλά με υποψία πνευμοθώρακα αναζητούμε στην ακτινογραφία μια ασυνήθη (κάθετη) απεικόνιση του καρδιακού ορίου ή του διαφράγματος με αυξημένη διαυγαστικότητα των γειτονικών τμημάτων του θώρακα και της κοιλιάς, μια κάθετη γραμμή παράλληλη προς το θωρακικό τοίχωμα (από έλξη του μέσου λοβού από το θωρακικό τοίχωμα) ή μια διαγώνια γραμμή από την καρδιά στην υποδιαφραγματική γωνία.
- Η ακτινογραφία σε περίπτωση υποψίας μικρού πνευμοθώρακα πρέπει να γίνεται κατά το τέλος της μέγιστης εκπνοής ενώ στην περίπτωση που ο πνευμοθώρακας συνοδεύεται από διάσπαση συμφύσεων της υπεζωκοτικής κοιλότητας μπορεί να εμφανιστεί αιμοπνευμοθώρακας με υδραερικό επίπεδο στην υπεζωκοτική κοιλότητα.
Διαγνωστική προσέγγιση υποψίας πνευμοθώρακα:
- Ξαφνική δύσπνοια ή θωρακικό άλγος, ιδίως σε νέους, κατά τα άλλα υγιείς ενήλικους και μετά από επεμβατικές διαδικασίες, π.χ καθετηριασμός υποκλείδιας φλέβας, βιοψία πνεύμονα, παρακέντηση πνευμοθώρακα.
- Οξεία έξαρση άσθματος ή χρόνιας αποφρακτικής πνευμονοπάθειας όπου ο πνευμοθώρακας μπορεί να είναι ανώδυνος και να συμβάλει στην αναπνευστική ανεπάρκεια.
- Υποξία ή αύξηση της πίεσης εμφύσησης αν ο ασθενής βρίσκεται σε αναπνευστήρα – η ασυμμετρία στη θωρακική έκπτυξη αποτελεί χρήσιμο διαγνωστικό στοιχείο.
Διαφορική διάγνωση (αποκλεισμός παρόμοιων παθήσεων):
- Μια μικρή εμφυσηματική κοιλότητα (bulla) μπορεί να θεωρηθεί ως μικρός πνευμοθώρακας και η παρακέντησή της να οδηγήσει σε ρήξη του πνεύμονα. Στην ακτινογραφία η κοιλότητα (bulla) παρουσιάζεται με εγκοπές στην περιφέρεια της, με συμφύσεις μεταξύ του πνεύμονα και του τοιχωματικού υπεζωκότα καθώς και με λεπτά όρια γύρω από την διαυγαστικότητα του πνεύμονα ενώ συνήθως υπάρχει παρουσία και άλλων τέτοιων κοιλοτήτων.
- Το έμφραγμα του μυοκαρδίου, η πνευμονική εμβολή και η πνευμονία είναι επίσης μερικές από τις παθήσεις που μπορούν να δημιουργήσουν διαφοροδιαγνωστικά προβλήματα.
Επιπλοκές:
- Το πνευμομεσοθωράκιο (με πιθανή ρήξη του οισοφάγου ή ενός βρόγχου) και το υποδόριο εμφύσημα (διαφυγή και εγκλοβισμός αέρα στον υποδόριο ιστό) είναι δύο από τις δυνητικές επιπλοκές του αυτόματου πνευμοθώρακα.
Θεραπεία:
- Ο μικρής έκτασης πνευμοθώρακας χρειάζεται μόνο παρακολούθηση επειδή η οπή εισαγωγής του αέρα συνήθως κλείνει και ο πνευμοθώρακας απορροφάται αυτόματα.
- Μεγαλύτερης έκτασης πνευμοθώρακας χρειάζεται αναρρόφηση ή διασωλήνωση με κλειστή θωρακοστομία.
- Ο αυτόματος υπό τάση πνευμοθώρακας αν και ασυνήθης πρέπει να αντιμετωπίζεται με άμεση αναρρόφηση του αέρα με ευρεία βελόνα παρακέντησης της υπεζωκοτικής κοιλότητας στο ύψος του 2ου μεσοπλεύριου διαστήματος στη μεσοκλειδική γραμμή στην πλευρά που απουσιάζει ή είναι μειωμένο το αναπνευστικό ψιθύρισμα. Η ακτινογραφική επιβεβαίωση δεν πρέπει να αναμένεται σε περίπτωση υπόνοιας υπό τάση πνευμοθώρακα και ειδικά όταν ο ασθενής παρουσιάζει έντονη δύσπνοια και σημεία Shock (υπόταση με συστολική ΑΠ<90 mmHg).
Πορεία- Πρόγνωση:
- Στο 50% των ασθενών ο αυτόματος πνευμοθώρακας υποτροπιάζει ενώ η συχνότητα των υποτροπών μετά το δεύτερο επεισόδιο είναι υψηλότερη. Ο υποτροπιάζων αυτόματος πνευμοθώρακας πρέπει να αντιμετωπίζεται χειρουργικά με εφαρμογή ερεθιστικών ουσιών της επιφάνειας του υπεζωκότα ώστε να δημιουργηθούν συμφύσεις (pleurodesis).
- Ο ασθενής με πνευμοθώρακα δεν πρέπει να μεταφέρεται με αεροσκάφη επειδή η μείωση της ατμοσφαιρικής πίεσης αυξάνει τον πνευμοθώρακα και προκαλεί επιβάρυνση της πνευμονικής και καρδιακής του λειτουργίας ενώ τα άτομα ιστορικό πνευμοθώρακα δεν πρέπει να εργάζονται ως πιλότοι και να αποφεύγουν τις καταδύσεις.
Δευτεροπαθείς αιτίες αυτόματου πνευμοθώρακα:
- Πνευμονοπάθειες:
- Άσθμα.
- Εμφύσημα.
- Πνευμονικό απόστημα.
- Όγκοι.
- Ηωσινόφιλο κοκκίωμα.
- Σύνδρομο της αναπνευστικής δυσχέρειας των ενηλίκων.
- Καταμήνιος πνευμοθώρακας: σπάνια διαταραχή η οποία χαρακτηρίζεται από αυτόματο πνευμοθώρακα κυρίως δεξιά κατά τη διάρκεια της έμμηνης ρύσης πιθανών λόγω ενδοθωρακικής ενδομητρίωσης.
